
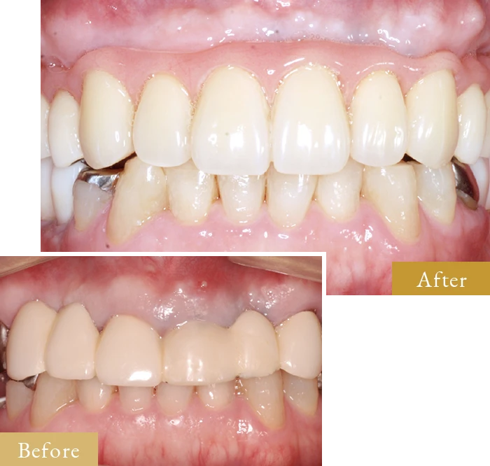
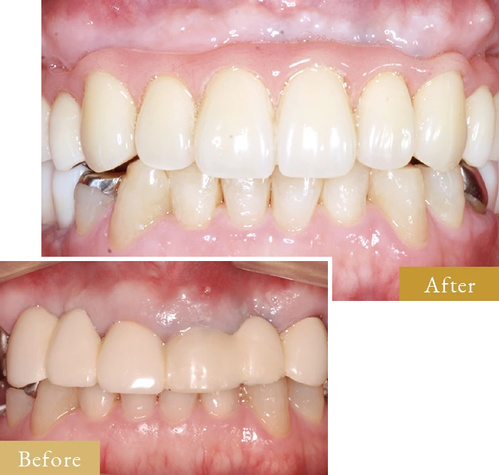
しっかり噛める喜びを!
名古屋でオールオン4に特化した
おすすめの歯科クリニック
オールオン4は、通常のインプラント治療よりも費用や身体への負担が軽く、入れ歯よりも快適なため、総入れ歯に代わる新しい選択肢として注目を集めています。
このサイトでは、名古屋でオールオン4治療を受ける際の選び方のポイントや信頼できるクリニックを紹介しています。

オールオン4は、通常のインプラント治療よりも費用や身体への負担が軽く、入れ歯よりも快適なため、総入れ歯に代わる新しい選択肢として注目を集めています。
このサイトでは、名古屋でオールオン4治療を受ける際の選び方のポイントや信頼できるクリニックを紹介しています。
最小4本のインプラントで人工歯を固定するため、従来の入れ歯にある「ガタつき」や「ズレ」が解消されます。
まるで自分の歯のような強い安定感で、硬いものや粘り気のあるものも臆することなく噛めるようになり、食の楽しみを取り戻せます。
インプラント埋入と同日に固定式の仮歯が入るため、歯がない期間を過ごす必要がありません。すぐに見た目が回復し、手術直後から会話や対面での活動が可能です。
治療期間が短く、生活への影響を最小限に抑えられます。
すべての歯を失った方や、多くの歯を失い総入れ歯の使用に抵抗がある方に適した画期的な治療です。
インプラントで人工歯を固定するため、取り外しの手間や口の中の違和感が軽減され、口腔機能が安定します。
患者様の顔の形や顎の骨に合わせて、自然で美しい歯並びと歯の色を再現します。
固定式のため、入れ歯のような不自然さがなく、審美性に優れています。口元を気にせず心から笑えるようになり、自信を取り戻せます。
名古屋市内にはたくさんの歯科がありますが、オールオン4に対応できるクリニックは限られます。
当サイトが掲げる、信頼できるクリニック選びのポイントをご紹介します。
診断・仕上がりは医師によって異なるもの。
厚生労働省の『歯科インプラント治療指針』でも、医師について「知識と技術を十分習得したうえで医療安全に注意を払わなければいけない(※)」と啓蒙しています。
※参照:厚生労働省PDF『歯科インプラント治療指針』
(https://www.mhlw.go.jp/seisakunitsuite/bunya/kenkou_iryou/iryou/shika_hoken_jouhou/dl/01-01.pdf)
オールオン4は高度な技術が必要な
ため、症例実績が豊富なクリニックを選ぶことが重要です。
実績の多い医院なら、一人ひとりに応じた適切な治療提案が受けられ、安心して任せられます。
年代によっても適した治療法は違います。自分と似た実績が多ければ、治療の信頼性が高まるでしょう。
診断・仕上がりは医師によって異なるもの。
厚生労働省の『歯科インプラント治療指針』でも、医師について「知識と技術を十分習得したうえで医療安全に注意を払わなければいけない(※)」と啓蒙しています。
※参照:厚生労働省PDF『歯科インプラント治療指針』
(https://www.mhlw.go.jp/seisakunitsuite/bunya/kenkou_iryou/iryou/shika_hoken_jouhou/dl/01-01.pdf)
オールオン4は高度な技術が必要な
ため、症例実績が豊富なクリニックを選ぶことが重要です。
実績の多い医院なら、一人ひとりに応じた適切な治療提案が受けられ、安心して任せられます。
年代によっても適した治療法は違います。自分と似た実績が多ければ、治療の信頼性が高まるでしょう。
名古屋にある歯科クリニックの中から、オールオン4の施術をおこなっていることが公式HPに明記されている26院を調査。
歯周病や虫歯などが原因でインプラントを入れている方や入れ歯が合わない方、自覚症状がありながら歯医者に行けず歯がボロボロになってしまった方に向けて、年代ごとにおすすめの歯科クリニックを紹介します。
\永く噛める治療が得意!豊富な経験/
今井 健二 理事長・院長

\日本口腔インプラント学会認定専門医/
高山 光平院長

\30年以上、1500本以上の治療実績/
吉岡 登史彰院長

※症例参照元:吉岡歯科医院公式HP
(https://www.yoshioka-dental.com/cases/kougouhoukai_01/)
(https://www.yoshioka-dental.com/cases/kougouhoukai_02/)
名古屋市で「オールオン4」の施術をまかせたい歯科クリニック3院それぞれの強みやおすすめの理由を詳しく解説します。
クリニックごとに「オールオン4」の料金や設備の種類、アフターケアについてもまとめているので、ぜひ参考にしてください。

掲載している費用は片顎の価格であり、インプラントの本数・義歯の材質により費用は異なります。そのほかに、インプラント手術費用として55,000円、アバットメントに55,000円~、上部構造に110,000円~などが追加で発生する場合があります。
高額な治療費は、現金またはクレジットカードの支払い、デンタルローンの利用、医療費控除の利用も可能です。詳しくはクリニックの公式HPをご確認ください。
※価格はすべて税込です。
顎の骨が薄い・痩せている・骨密度が低下している患者さんに対して、骨を造成するサイナスリフトやソケットリフト、遊離骨移植(ボーンクラフト)など、多くの選択肢の中から骨の状況に合わせた治療方法を提案できます。
オールオン4の施術のために骨を増やすべきなのか削るべきなのかを見極めたうえで、患者さんにとって必要な施術を行っているため、メンテナンスしやすく、長持ちするオールオン4の施術が可能です。
歯科用CTやノーベルガイド(※)など患者さん一人ひとりに合わせて、術後のメンテナンスまで考慮した治療計画を立てられるのはもちろん、治療計画どおりの緻密な施術を可能にしたナビゲーションシステム「X-Guide」といった、大学病院レベルの専門的な機械や設備が整っていることも特徴。
インプラントを埋入する角度や位置の調整ができるため、施術後の違和感が出にくく、外れたり割れたりといった不具合も起きにくい施術が可能です。
※ノーベルガイドとは、3D画像をもとにインプラント埋入位置のシミュレーションができるシステムのこと。歯ぐきを切開することなく必要な最低限の穴を開けることができるので歯ぐきを切開せずに手術が可能です。

来院された患者さんの要望に応えられるように、新しい治療法や機材を使い、レベルの高い歯科医療を目指している今井先生。「一緒に治す」を基本の軸とし、できるだけ長く機能的かつ美しくいられるような施術を心がけています。
骨造成の技術はもちろんのこと、他院で断られてしまった方や他院で失敗されてしまった方へのリカバリーにも対応しており、その技術力の高さから他の歯科医師への指導もおこなっている先生です。
(前略)インプラントもとても不安でしたが、納得のいくまで説明をしてくれて安心して受けられました。
引用元:Google(https://maps.app.goo.gl/8YDSxQxjSqasQqrNA)
初診で伺いました。先生も衛生士さんもとても親切な対応をしてくれました。噛み合わせのことで何件か歯医者に行って悩んでいましたが先生の説明がとても分かりやすく安心できました。(後略)
引用元:Google(https://maps.app.goo.gl/DqdMW9Ng1Aet2bSQ6)
いい歯医者さんですよ。 院長先生が優しくて親身になって治療して下さるので歯医者嫌いの私でも通い続けています。(後略)
引用元:Google(https://maps.app.goo.gl/idzMHUBUHraxgYch6)
画像引用元:上前津歯科 公式HP https://e-ha.ne.jp/implant/
| 施術内容 | 上顎All-on-4(6)補綴セラミック |
|---|---|
| 治療期間 | 約9か月 |
| 治療費 | 約330万円 |
| リスク・副作用 |
|
画像引用元:上前津歯科 公式HP https://e-ha.ne.jp/implant/
| 施術内容 |
上顎All-on-4(6)下顎All-on-4 補綴全顎セラミック |
|---|---|
| 治療期間 | 約1年 |
| 治療費 | 約650万円 |
| リスク・副作用 |
|

上前津歯科医院では、オールオン4の快適さが長持ちするよう定期検診にてホームケアの仕方をアドバイス。施術の段階で、メンテナンスやホームケアがしやすいように考慮して埋入するため、20年、30年と持たせることが可能です。
さらに、最長で10年間の長期保証制度も用意。万が一施術後に問題が発生した場合には、患者さんの不注意や不慮の事故を除き、インプラントの再施術が可能です。
上前津歯科医院は、上前津駅直結のため通いやすいクリニックです。
プライバシーに配慮された半個室の診療室やメンテナンス室を完備。院内には技工室があるため、通院回数の低減や仕上がりの調整、トラブルへの対応も早いのが特徴です。院内感染予防対策を強化しており、徹底された衛生管理の中で施術を受けられます。
| 駐車場 | 徒歩3分「万松寺駐車場」 |
|---|---|
| クレジットカード | 使用可 |
| 所在地 | 愛知県名古屋市中区大須4-11-17 |
| アクセス | 地下鉄「上前津駅」12番出口から徒歩0分 |
| 電話番号 | 052-251-8282 |

ほか、インプラント埋入手術は220,000円~297,000円、インプラント・上部は220,000円~297,000円、インプラント・ロケーター121,000円、静脈内鎮静法71,500円、骨造成手術については165,000円~550,000円となっています。
※インプラント手術の費用については、患者さんの症例と要望を確認したうえで、個別に見積もりを作成し、患者さんに合わせた費用を提供しています。検査費用やガイド作成費、義歯製作など、必要な検査や処置は個々で異なります。お支払い方法は、現金またはクレジットカード、デンタルローンの利用も可能です。医療費控除についても対応しているため、個々で確認してください。
※価格はすべて税込です。
院長である高山医師は、日本歯周病学会認定専門医かつ日本臨床歯周病学会の専門医。オールオン4の施術は歯周病が進行している歯ぐきにはインプラントを埋入できません。
そのため、重度の歯周病の方は歯周組織の治療や口内環境の改善をおこなう必要があります。高山歯科室では歯周病治療をした上で必要なオールオン4を受けることができます。
歯周病菌は、歯の根を支える骨を破壊してしまいます。そのため、歯周病が原因でオールオン4の手術を断られてしまうケースも。
高山歯科室では、歯周病が原因で歯肉の状態が悪く骨が痩せていて、他院で断られてしまったケースでもオールオン4の施術が対応可能。日本歯周病学会の専門医である院長が適切に診断し、口腔内の歯周病をコントロールすることで長持ちするオールオン4の施術を可能にしています。

日本歯周病学会認定専門医や日本臨床歯周病学会認定医をはじめ、日本口腔インプラント学会 認定専門医でもある高山医師。細菌検査などを活用した歯周病の予防や治療を得意とし、データを重視した施術を心がけています。
インプラント治療においては30年のキャリアがあり、自分自身が受けたいと思うような治療を心がけている先生です。
しっかり話しを聞いてくれます。 対応も説明も丁寧!
引用元:Google(https://maps.app.goo.gl/mRpLrBRmvZTQyNtm7)
とても丁寧に説明して頂きました。かなり知識のある方だと思います。
引用元:Google(https://maps.app.goo.gl/aeV772MxmkMkaytZ9)
公式HPに症例がありませんでした。

インプラント周囲炎予防に、毎日の適切なセルフケアと定期的なメンテナンスが欠かせません。インプラントは歯と違い清掃しにくい部分が多く、適切なブラッシング指導をおこなっています。歯肉が炎症している場合はブラッシング指導、インプラント周囲の骨が吸収されてしまっている場合は、マイクロの超音波で清掃し、表面の細菌を除去するなどの治療方法を提案しています。
平日は19時まで、土曜は17時まで診療を受け付けているため、仕事で日中忙しい方でも通院しやすい診療体制です。電車での通院では、最寄り駅から徒歩5~8分でアクセスも良く、定期的な通院でも負担が抑えらるでしょう。
| 駐車場 | 無 ※近隣パーキングを利用 |
|---|---|
| クレジットカード | 不明 |
| 所在地 | 愛知県名古屋市中区栄3-15-27 いちご栄ビル7F |
| アクセス | 地下鉄名城線「矢場町駅」下車 徒歩5分、地下鉄東山線「栄駅」下車 徒歩8分 |
| 電話番号 | 052-242-2213 |

埋め込むインプラントの本数が最少本数4本、骨造成も必要ないので費用は抑えられます。上顎(普通)で3,300,000円~、下顎(簡単)2,530,000円~であり、患者さんの症例によって費用も大きく変わります。支払いは、現金やクレジットカードのほかに、デンタルローンにも対応しています。ローンには審査がありますが、20歳以上の安定した収入のある方なら、最大120回までの分割払いが可能です。
※価格はすべて税込です。
吉岡歯科医院では、歯医者への恐怖心から通えなくなってしまい、30代~40代という若さで歯がボロボロになってしまった方や歯の多くを失ってしまった方の症例があるクリニックです。
長期の通院が難しい方や歯科恐怖症の方に対して、できるだけ短期で見た目や噛む機能を回復に導けるオールオン4を適切に施術。心身への負担を低減するよう配慮をしています。
「歯医者=痛い・怖い」といったイメージがあり、恐怖を感じる患者さんは多くいます。そのため、できる限り痛みや恐怖感を感じることなく快適に通院できるよう工夫。
極細の針を使い、電動注入器でゆっくりと麻酔液を注入することで、麻酔そのものの痛みを抑えることが可能です。麻酔医が全身管理しながら、患者さんの負担を低減した施術をおこなっています。

積極的な機能の獲得や自己実現の可能性があるとして、日々インプラントの診療にあたっている吉岡医師。
歯医者恐怖症の方への対応をはじめ、より社交的な生活が送れるようになったり、食事をたくさん楽しめるようになったりと、歯の治療をすることで患者さんの人生の楽しみを増やしたいという情熱を持った先生です。
インプラントを行う歯医者さんは正直たくさんありますが、今迄信頼できる歯医者さんはなく。私は吉岡歯科医院を選んで本当に良かったと思っています。(中略)
耳元で患者が不安にならないように優しくお声掛けして下さる先生。スタッフさんへの指示も穏やかで、聞いていていつも安らぎました。
引用元:Google(https://maps.app.goo.gl/mWe6mbbhPpHMEzm48)
クリニックの雰囲気はとても良く、先生はじめスタッフの方々は、皆とても親切で、説明もていねいなので安心して治療を受けられました。インプラント治療が無事終わり、食事が楽しめるのがとても嬉しいです。今後、今の状態がずっと保てるよう、口腔内ケアに気を付けたいと思います。
引用元:Google(https://maps.app.goo.gl/5tn1NRqkAfP3evhJ6)
歯科医が数多くある中やっと自分に合う所を見つけることが出来ました。
今回こちらでインプラントで伺いました。(中略)
症例数も多く、一人一人にあった的確な施術をしてくださいます。
引用元:Google(https://maps.app.goo.gl/RB8kRBbiLza7qcQf6)
画像引用元:上前津歯科 公式HP https://www.yoshioka-dental.com/cases/jougegakuhoukai10
| 施術内容 | 上顎をオールオン4で修復、11ヶ月後インプラント2本撤去 |
|---|---|
| 治療期間 | 約3年 |
| 治療費 | 462万円 (税込) |
| リスク・副作用 |
|
画像引用元:上前津歯科 公式HP https://www.yoshioka-dental.com/cases/jougegakuhoukai11
| 施術内容 | 保存不可能な歯の抜歯→仮歯装着(上顎をオールオン4で修復)、下奥歯のインプラント |
|---|---|
| 治療期間 | 約2年半 |
| 治療費 | 上顎 396万円 、下顎 165万円 (税込) |
| リスク・副作用 |
|

インプラント周囲炎にかからないことが大事であると考える吉岡歯科医院。重要なのは患者さん自身のケアの仕方によることから、徹底的にメンテナンスとブラッシング指導をしています。
メンテナンスの間隔は、一人ひとりの状況によっても異なりますが、一般的には3~6ヶ月に一度程度の間隔で実施。定期検診やクリーニング、噛み合わせチェックなどのメンテナンスもおこないます。
名古屋で開業以来、30年以上にわたって歯科医療とインプラント治療を行ってきた歴史があるクリニックです。院内感染を起こさない大学病院レベルの感染対策をおこないながらスタッフ全員で研鑽を積み、技術提供できることが強み。
YouTubeではオールオン4はもちろん、インプラント治療についての情報を積極的に発信しているのも特徴です。
| 駐車場 | 11台完備 |
|---|---|
| クレジットカード | 使用可 |
| 所在地 | 愛知県名古屋市中川区太平通2-38パントグラフビル |
| アクセス | あおなみ線「荒子駅」から徒歩15分 |
| 電話番号 | 052-353-6888 |
インプラント治療の中でも比較的新しい技術「オールオン4」。従来のインプラント治療とは異なることからも、オールオン4の経験や技術はもちろん、専用設備などが必要です。ここでは、オールオン4に対応しているクリニックの費用や特徴をご紹介。先のページでは口コミをまとめ一覧で掲載しています。
「患者さんと一緒に治す」をモットーに、オールオン4に対する治療実績と知識のある歯科医師が対応。X-Guideや歯科用CTなど大学病院レベルの設備により的確な施術、失敗のないオールオン4の治療を目指しています。さまざまな骨造成に対応し、患者さんに合った技術の提供が可能です。
| 受付時間 | 9:30~19:00 |
|---|---|
| 定休日 | 木・日・祝 |
| 最寄り駅 | 上前津駅12番出口から徒歩0分 |
| 所在地 | 愛知県名古屋市中区大須4-11-17 |
| 電話番号 | 052-251-8282 |
難易度の高いオールオン4の治療にも対応可能です。設備が整っており、事前の検査や診断などを、可能な限り精密に行うことにも注力しています。最寄り駅から徒歩2分、交通アクセスも◎です。土日も診療を行っています。
| 受付時間 | 10:00~19:30 |
|---|---|
| 定休日 | 祝 |
| 最寄り駅 | 金山駅から徒歩2分 |
| 所在地 | 愛知県名古屋市中区金山1-15-10 メイフィス金山駅前ビル6F |
| 電話番号 | 052-321-3131 |
インプラントの埋め込みをより高い精度かつ慎重に行うために、CTやX-ガイドなどを積極的に利用し、事前の検査・準備をしています。栄駅から徒歩2分、交通アクセス良好なので通院する際の負担も軽減されるでしょう。
| 受付時間 | 9:30~19:00 |
|---|---|
| 定休日 | 土・日・祝 |
| 最寄り駅 | 栄駅から徒歩2分 |
| 所在地 | 愛知県名古屋市中区錦3-15-33 アルティメイト錦大津通3F |
| 電話番号 | 052-957-3357 |
総入れ歯に不満がある方や歯がほとんどない方、多くの歯がボロボロですべてキレイに整えたい方にオールオン4を提案。ライフスタイルに合わせ、無理なくケアができるようなオリジナルのケアプログラムを提案します。
| 受付時間 | 9:00~16:00 |
|---|---|
| 定休日 | 日・月・祝 |
| 最寄り駅 | 栄駅から徒歩3分、久屋大通駅から徒歩3分 |
| 所在地 | 愛知県名古屋市中区錦3-7-14 ATビル2F |
| 電話番号 | 052-955-8211 |
歯を失う原因のひとつである歯周病の専門医(日本歯周病学会)が在籍。CAD/CAM3次元造形技術による精密検査・診断で精度の高い治療を目指しています。難症例への対応はもちろん、他院でのリカバリーや歯周病によく似たインプラント周囲炎への対応も可能です。
| 受付時間 | 10:00~19:00 |
|---|---|
| 定休日 | 日・祝 |
| 最寄り駅 | 矢場町駅から徒歩5分 |
| 所在地 | 愛知県名古屋市中区栄3-15-27 いちご栄ビル7F |
| 電話番号 | 052-242-2213 |
明治19年(1886年)創業、4代目院長による診療。インプラント治療を対応する医師は米国のインディアナ大学歯学部の歯周学インプラント科の認定医で、提携医院にもなっています。不具合のない、見た目にこだわった施術を行っているのが特徴です。
| 受付時間 | 9:00~18:00 |
|---|---|
| 定休日 | 木土pm、日祝 |
| 最寄り駅 | 丸の内駅4番出口すぐ |
| 所在地 | 愛知県名古屋市中区丸の内2-18-15 第51KTビル2F |
| 電話番号 | 052-231-8038 |
痛みに配慮し、施術に強い恐怖心や不安がある方には静脈鎮静法を用意しています。カウンセリングと各種検査から歯や骨、口腔内環境や機能性調べ、患者さんの要望を配慮した治療プランを提案しているクリニックです。
| 受付時間 | 9:30~18:30 |
|---|---|
| 定休日 | 木・日・祝 |
| 最寄り駅 | 上前津駅から徒歩約4分 |
| 所在地 | 愛知県名古屋市中区大須4-2-58 大和ビル5F |
| 電話番号 | 052-241-6480 |
必要な施術をワンストップでおこなえるクリニックです。土曜、各種日曜と平日以外にも診療。院内は小さいお子さんや高齢者にも配慮されたバリアフリー設計で、駐車場も完備しています。
| 受付時間 | 10:00~18:30 |
|---|---|
| 定休日 | 日・祝 |
| 最寄り駅 | 中島駅から徒歩3分 |
| 所在地 | 愛知県名古屋市港区正徳町2-3-3 |
| 電話番号 | 0120-8702-90 |
オールオン4の施術では3つのプランを提供しているてらもとファミリー歯科。手術後は定期検診だけでなく長期保証制度を用意しています。
| 受付時間 | 9:00~18:00 |
|---|---|
| 定休日 | 木・日・祝 |
| 最寄り駅 | 瑞穂運動場東駅2番出口から徒歩約6分 |
| 所在地 | 愛知県名古屋市瑞穂区彌富通3-45-5 |
| 電話番号 | 052-837-5255 |
名門ハーバード大学卒業、国際インプラント学会指導医(IDIA)の資格を持つ医師が治療を担当。骨の量が少なくインプラントの埋入が難しい症例も、骨造成・再生法などで対応可能です。症例に合わせられるよう、2種類のインプラントシステムを採用しています。
| 受付時間 | 9:00~17:30 |
|---|---|
| 定休日 | 木・日・祝 |
| 最寄り駅 | 上小田井駅から徒歩17分 |
| 所在地 | 愛知県名古屋市西区赤城町7 |
| 電話番号 | 052-501-4182 |
口腔外科・インプラント担当医によるインプラントが受けられ、骨造成手術にも対応しているクリニックです。施術後はメインテナンスプランによる定期検診で、歯ぐきの炎症などさまざまなトラブルを予防。長く安定したインプラントの使用をサポートしています。
| 受付時間 | 10:00~19:30 |
|---|---|
| 定休日 | 要問合せ |
| 最寄り駅 | 名古屋駅直結 |
| 所在地 | 愛知県名古屋市西区牛島町6-1 名古屋ルーセントタワー3F |
| 電話番号 | 0120-931-024 |
インプラント治療では、他院で断られた難症例の治療も対応。歯医者が怖い方や痛みに敏感な方に対して、徹底的に恐怖心や痛みを取り除けるよう配慮しています。長期的に歯医者に通えない方への短期治療もおこなっているのが特徴です。
| 受付時間 | 9:30~18:00 |
|---|---|
| 定休日 | 木・日・祝 |
| 最寄り駅 | 荒子駅から徒歩15分 |
| 所在地 | 愛知県名古屋市中川区太平通2-38 パントグラフビル |
| 電話番号 | 052-353-6888 |
オールオン4やオールオン6、1回法、2回法、即時荷重法、インプラントオーバーデンチャーなど多数の方法に対応。i-CATシステムやサージカルガイド、感染予防対策も万全な専用のオペ室など設備が充実しています。
| 受付時間 | 9:30~19:00 |
|---|---|
| 定休日 | 隔週日曜 |
| 最寄り駅 | 黄金駅から徒歩5分 |
| 所在地 | 愛知県名古屋市中川区五月通2-37 黄金ステーションビル2F |
| 電話番号 | 052-351-9005 |
難症例に対応しているクリニックで、カウンセリングに力を入れ、患者さんの「笑顔を取り戻す」ためのオールオン4治療を行っています。名古屋駅から徒歩わずか3分、通院するのに便利な立地です。
| 受付時間 | 10:00~17:00 |
|---|---|
| 定休日 | 各月で異なります |
| 最寄り駅 | 名古屋駅から徒歩3分 |
| 所在地 | 愛知県名古屋市中村区椿町1-16 井門名古屋ビル4F |
| 電話番号 | 0120-979-486 |
インプラント治療では、できるだけ骨を削らず痛みを抑えた治療を提供。コンピューターシミュレーションによるインプラント埋入に専用手術室完備しています。使用するインプラント体は、折れや欠落に強い純チタン製とハイブリッドセラミックスも用意しているクリニックです。
| 受付時間 | 9:30~19:00 |
|---|---|
| 定休日 | 土・日・祝 |
| 最寄り駅 | JR名古屋桜通り口から徒歩4分 |
| 所在地 | 愛知県名古屋市中村区名駅3-13-31 名駅モリシタビル8F |
| 電話番号 | 0120-028-316 |
完全予約制で、突然のトラブルには随時対応。対応する歯科医師・歯科衛生士には担当制を採用し、質の高い治療とサポートを提供しています。インプラント治療ではアメリカの治療実績も豊富で、ヨーロッパインプラント学会認定である歯周病・インプラント担当医が対応しています。
| 受付時間 | 8:00~17:00 |
|---|---|
| 定休日 | 月・日・祝 |
| 最寄り駅 | 名古屋駅から徒歩1分 |
| 所在地 | 愛知県名古屋市中村区椿町16-4 |
| 電話番号 | 052-453-9110 |
かかりつけ歯科医機能強化型歯科診療所と歯科外来診療環境体制(外来環)認定院。インプラント手術はコンピュータシミュレーションでプランを作成し、口腔外科の専門家が執刀。歯科治療専門の保証会社と提携した安心の10年保証付きで、全国の提携歯科医院でのサポートが受けられます。
| 受付時間 | 10:00~19:30 |
|---|---|
| 定休日 | 土pm、日祝 |
| 最寄り駅 | 名古屋駅西口から徒歩1分 |
| 所在地 | 愛知県名古屋市中村区椿町6-9先エスカ地下街 |
| 電話番号 | 052-452-1255 |
名古屋駅徒歩0分とアクセス良好で通いやすい場所にあります。サージカルガイドとCTによる術前シミュレーション、完全個室のインプラント専用手術室と設備が充実しています。国際口腔インプラント学会認定医によるインプラントを受けられるのが特徴です。
| 受付時間 | 10:00~19:30 |
|---|---|
| 定休日 | 日・祝 |
| 最寄り駅 | 名古屋桜通り口から徒歩4分 |
| 所在地 | 愛知県名古屋市中村区椿町15-10 名駅三交ビル2F |
| 電話番号 | 052-414-6107 |
オールオン4の他、フラップレス術式(無切開・無剥離)とイミディエイト術式(即時荷重)にも対応。難症例や全身的疾患などの理由で、他院で断られた方の相談にものっています。施術時の痛みや不安を軽減する対応・雰囲気作りにも力を入れているのが特徴です。
| 受付時間 | 10:30~20:00 |
|---|---|
| 定休日 | 日・祝 |
| 最寄り駅 | 国際センター駅よから徒歩6分 |
| 所在地 | 愛知県名古屋市中村区名駅5-3308 アクアタウン納屋橋1F |
| 電話番号 | 052-563-1281 |
オールオン4・オールオン6に対応。再生療法によるインプラントに対応し、骨の量が少ない方にも施術が可能です。グループ医院として各エリアにあるため、引っ越しや転勤の際には、引継ぎをしっかりとおこなっています。
| 受付時間 | 10:00~19:30 |
|---|---|
| 定休日 | 隔週日曜・祝 |
| 最寄り駅 | 名古屋駅東口から徒歩1分 |
| 所在地 | 愛知県名古屋市中村区名駅2-44-2 オーキッドGビル2F |
| 電話番号 | 052-564-8830 |
予防歯科の先進国スウェーデンでインプラント治療を行った実績のある医師が院長を務めており、インプラントに特化した専門チームによる治療を提供。完全個室の専用オペ室や歯科用3DCT、空気清浄機、滅菌機などの設備を導入し、安心して治療を受けられる体制を整えています。
| 受付時間 | 10:00~20:00 |
|---|---|
| 定休日 | 祝 |
| 最寄り駅 | 名古屋駅から徒歩5分 |
| 所在地 | 愛知県名古屋市中村区名駅4-26-9 NEW AG TOWERⅠ12F |
| 電話番号 | 0120-960-013 |
手術は1日で終了。メンテナンス期間を含め、2週間~1ヶ月ほどで治療が完了します。全身麻酔で手術を行うため、痛みを抑えることが可能です。カウンセリングや検査を行い、不安を払拭したうえで治療を開始します。
| 受付時間 | 10:00~19:00 |
|---|---|
| 定休日 | 水・日・祝 |
| 最寄り駅 | 名古屋駅から徒歩3分 |
| 所在地 | 愛知県名古屋市中村区椿町5-10 CORE meieki 9F |
| 電話番号 | 052-451-4840 |
専門ドクターによるインプラント治療はもちろん、日本歯周病学会所属の歯科医師や歯科衛生士による重度の歯周病治療にも対応。インプラント体にはノーベルバイオケア社・ストローマン社を使用。全身麻酔と同等の設備が整っており、静脈内鎮静法による麻酔法にも対応しています。
| 受付時間 | 9:00~18:00 |
|---|---|
| 定休日 | 火・祝 |
| 最寄り駅 | 味美駅から徒歩7分 |
| 所在地 | 愛知県名古屋市北区三軒町146 |
| 電話番号 | 052-901-1711 |
日本口腔インプラント学会の専門医・指導医が施術を担当。骨量が少ない場合には、サイナスリフト・ソケットリフト・GBR・ソケットプリザベーションと多数の方法で骨造成が可能です。専門機器を積極的に導入し、綿密な施術を得意としています。
| 受付時間 | 9:00~18:00 |
|---|---|
| 定休日 | 木・日・祝 |
| 最寄り駅 | 本郷駅北側から徒歩2分 |
| 所在地 | 愛知県名古屋市名東区本郷2-66-3 |
| 電話番号 | 052-737-6300 |
インプラントの施術に長けた医師が5名在籍しているクリニックです。難症例への対応事例も多く、他院で断れた方やセカンドオピニオンの相談にも乗っています。CT機器など多数の専用機器を揃え、細部まで把握した検査としシミュレーションが可能です。
| 受付時間 | 9:30~17:30 |
|---|---|
| 定休日 | 日 |
| 最寄り駅 | 藤が丘駅から徒歩1分 |
| 所在地 | 愛知県名古屋市名東区明が丘124-1 amiamiビル1F |
| 電話番号 | 052-715-3396 |
インプラント治療では、難症例の経験も豊富な総合病院の歯科口腔外科出身医師が対応。インプラント体にかかる価格を抑えた5年間の保証付き。オールオン4をはじめ各種骨造成、サイナスリフト、ソケットリフトとさまざまな症例に対応しています。
| 受付時間 | 9:00~18:30 |
|---|---|
| 定休日 | 木・日・祝 |
| 最寄り駅 | 野並駅から 徒歩15分 |
| 所在地 | 愛知県名古屋市緑区鳴海町字山下78-1 コナミスポーツクラブ鳴海山下1F |
| 電話番号 | 052-875-3383 |
かかりつけ歯科医機能強化型診療所の認定歯科医院。カウンセリングは日本口腔インプラント学会認定のインプラント専門歯科衛生士が、施術は国際インプラント学会認定医の院長が担当。手術は完全滅菌オペ室でおこない、最長10年間の無償保証制度が付いています。
| 受付時間 | 9:30~19:00 |
|---|---|
| 定休日 | 木・日・祝 |
| 最寄り駅 | 中京競馬場前駅から徒歩2分 |
| 所在地 | 愛知県名古屋市緑区境松2-411 |
| 電話番号 | 052-623-0333 |
インプラント治療に関して豊富な経験を持つ院長が対応します。まずは無料の相談会で話を聞き、一人ひとりに合った治療方法を提案。歯科技工士とも連携を取りながら、チーム体制で治療にあたっており、処置はプライバシーに配慮した個室のオペ室で行います。
| 受付時間 | 9:00~19:30 |
|---|---|
| 定休日 | 日・祝 |
| 最寄り駅 | 徳重駅から徒歩10分 |
| 所在地 | 愛知県名古屋市緑区亀が洞1-410 |
| 電話番号 | 052-879-1818 |
実際にオールオン4を体験した方の口コミをご紹介します。
受ける前に知りたかったことや、受けた見た感想を掲載していますので、ぜひお役立てください。
前歯から奥歯まで一体化した人工歯を4本のインプラント体で支えるオールイン4。インプラントを歯に対して1本ずつ埋入するよりも体への負担や費用を抑えられるのが特徴です。広範囲で失った歯をカバーしたいと考えている方向けの施術法です。

オールオン4の治療相場は、片顎で210万~400万円ほどとなっています。患者さんの口腔内状態だけでなく、自由診療なので歯科医院によって大きく異なるため、まずはクリニックに相談してみましょう。医療費控除の対象なので、申請に必要な書類など調べておくことをおすすめします。
※参照元:WITH DENTAL CLINIC公式HP(https://dental.with-clinic.jp/allon4-cost/)

オールオン4は、少ないインプラント体で広範囲をカバーできる治療法です。通常のインプラント治療に比べて経済的・身体的な負担が少ないのが特徴です。ただ、健康な歯でも抜歯する必要があり、定期的なメンテナンスなどの手間があります。

オールオン4はインプラント治療のなかでも比較的新しい方法のため、経験・技術不足の医師や設備が十分でない歯科医院は避けた方が良いと言えます。
また、顎の骨の状態や持病、生活習慣によっては施術を断られることも。噛み合わせが強い人も人工歯が割れたり外れたりしやすいため、事前に相談すると良いでしょう。
どちらも歯をほとんど失った方や総入れ歯に不満を抱える人にとって大きな選択肢となる治療法。
オールオン4は片顎4本、オールオン6は片顎6本と、支える本数の違いに伴い、費用や耐久性が変わります。
歯科治療の一種として医師の管理下で行われる「治療行為」に該当するため、適切な診断書や領収書を元に確定申告を行えば、医療費控除を受けられる可能性が高いと言えます。
歯周病があっても状況次第ではオールオン4を受けることは可能です。
ただし、歯周組織の状態を慎重に見極めたうえで治療計画をたてる必要があります。
まずは医師へ相談をしてみるとよいでしょう。
基本的に、オールオン4に年齢制限はありません。
大切なのは、あごの骨の状態や全身の健康状態が手術に耐えられるかどうか。
医師の判断が必要になりますが、年代別のリスクを事前に知っておくことも大切です。
従来のインプラントに比べ、比較的短期間で手術から最終的な歯の装着まで進めることが可能です。
オールオン4は大きく5つのステップに分けられ、基本的には約3~6か月程度が一般的ま治療期間と言えます。
多くの症例に適用されるオールオン4ですが、一部適用されない方も存在します。
例えば、骨の量や質が不足している人や重度の持病がある人、口腔内の状態が悪すぎる人などが該当です。
オールオン4は手術をしたら終わりではなく、術後のメンテナンスが非常に重要。
やり方次第で、インプラントの寿命は大きく左右されます。
正しいケア方法や通院期間を守り、永く健康なお口を保ちましょう。
オールオン4での治療と手術の流れは、失った歯の部分に1本1本埋入する通常のインプラント治療とは異なります。
一般的に手術回数が少なく、わずか1日で仮歯を装着できることや、見た目や噛む機能を取り戻せることが大きな魅力です。ここでは、オールオン4の基本的な流れについて紹介しています。

口腔内の状態を把握するため、検査やレントゲン撮影を実施。その検査データを基にして今後の方針や、インプラントの治療の流れや注意点、疑問や質問についての説明がおこなわれます。

CT撮影など専用の機器を用いた精密検査や血液検査で、初回のカウンセリング時よりも詳しく口腔内や歯根や顎の骨の状態などを調べます。
この時、インプラント体の埋入位置を決める装置を装着した撮影もおこなわれます。

初回カウンセリングと2回目の検査データを基に、最終的な治療計画が立てられます。
歯垢や歯石除去などで口腔内をきれいにし、顕微鏡検査で細菌状態を調べるなど歯周病の可能性も調べられます。

歯型を作成し、噛み合わせを確認したのち仮歯を準備します。口腔内をクリーニングできれいにし、抜歯が必要な場合は実施。
術前のカウンセリングが済んだら、いよいよインプラントを埋入します。術後、仮歯を装着し嚙み合わせの調整をおこなったら帰宅が可能です。

術後は状態チェックや消毒、歯垢・歯石の除去のために来院の頻度が高い歯医者さんがほとんどです。
術後の状態が落ち着いてきたら通う頻度が減り、数ヶ月に1回の定期検診のみに切り替わります。

歯型を再度取得し、インプラント体の上につける上部構造(最終ブリッジ)を調整します。義歯にはどのようの素材を使うのかも患者さんと相談して決められ、噛み合わせや適合の有無なども確認し最終決定となります。

手術後に取り付けた仮歯を外し、完成した上部構造(最終ブリッジ)と交換。インプラント体の頭部に装着してしっかりと固定します。
嚙み合わせの不具合や違和感などの最終確認をおこないます。

インプラント体を取り付けた後は、3~6か月に1回の割合で定期検診を受けることが推奨されています。インプラント体や噛み合わせの不具合や歯のケアはできているかといったメンテナンスなどをおこないます。
実はインプラントは、全ての人に適用できる治療法ではありません。しかし、様々な治療法を組み合わせることで適用可能になる場合があります。
スプリットクレストとは、骨の幅が足りない部位に対して、骨を水平方向に広げることでインプラントを埋入できるスペースを確保する手術。
追加の骨造成なしで比較的短期間でインプラント治療が可能になります。
歯茎を切開せずにインプラントを埋め込む低侵襲な手術法のこと。
従来のインプラントと比べて、歯茎に小さな穴をあけるだけなので、術後の出血や腫れを抑え、手術時間も軽減することが可能です。
上顎の骨が不足してインプラント治療が難しい場合に適用される骨造成術。
この2つの違いは、アプローチ方法と骨の厚みによる適用範囲です。骨の残り具合などを考慮し、状態に合わせて使い分けられます。
手術当日に仮歯を装着することができるため、治療期間の短縮や審美性の早期回復が即時荷重インプラントの最大のメリット。
ただし、適用しない人もいるので、まずは医師への相談が重要です。
インプラント治療時に骨が不足している部位へ骨の再生を促す治療法。
骨の足りない箇所に補填剤を入れ、専用の膜で覆うことで骨が育つ空間を作ります。
特に薄くなりやすい上顎や前歯の治療に有効です。