インプラント治療を検討する際、顎の骨の量が不足していると診断され、治療を断念された経験はありませんか?特に上顎の奥歯部分では、骨の高さが足りないケースが多く見受けられます。しかし、現在では骨造成術を併用することで、インプラント治療が可能となるケースが増えています。
本記事では、上顎の骨造成術である「サイナスリフト」と「ソケットリフト」について詳しく解説します。これらの治療法の違いや適応条件、治療の流れ、費用相場、メリット・デメリット、実際の症例までを網羅的にご紹介します。
サイナスリフトとソケットリフトは、インプラント治療を行う際に上顎の骨が不足している場合に適用される骨造成術です。上顎の奥歯部分には「上顎洞(サイナス)」と呼ばれる空間があり、骨の厚みが不足していると、インプラントを安定して埋入することができません。
このようなケースに対応するために、上顎洞の粘膜を持ち上げ、その下に人工骨や骨補填材を移植して骨量を確保する方法が「サイナスリフト」および「ソケットリフト」です。
両者の違いは、主にアプローチ方法と骨の厚みによる適応範囲にあります。
| 治療法 | 特徴 | 適応される骨の厚み |
|---|---|---|
| サイナスリフト | 上顎の側面(頬側)からアプローチ。広範囲の骨造成が可能。 | 骨の厚みが4mm未満 |
| ソケットリフト | インプラントを埋入する穴から直接アプローチ。低侵襲で短期間の治療が可能。 | 骨の厚みが4mm以上〜6mm程度 |
骨量が非常に少ないケースではサイナスリフトが必要になりますが、比較的骨が残っている場合にはソケットリフトで対応できることが多く、患者さんの状態に合わせて使い分けられます。
どちらの術式も、患者の骨の状態を正確に把握したうえで慎重に進められます。以下に、一般的な治療のステップをご紹介します。
CT撮影やレントゲンによって、上顎洞の位置や骨の厚み・質を詳細に確認します。この検査によって、どちらの術式が適しているかが判断されます。
検査結果に基づき、治療の流れや手術の方法、費用、リスクなどについて医師から説明を受けます。不安な点は事前に解消しておくことが大切です。
サイナスリフトでは約4〜6ヶ月、ソケットリフトでは2〜4ヶ月程度の治癒期間が必要とされます。この間に骨が定着し、インプラントの土台としての強度を高めます。
骨の安定が確認された後、人工歯(上部構造)を装着して治療が完了します。
治療期間やプロセスは個人差があるため、必ず担当医師と綿密にスケジュールを確認しながら進めることが重要です。
サイナスリフトおよびソケットリフトは、保険適用外の自由診療にあたるため、治療費は医療機関によって差があります。以下に一般的な費用の目安を表にまとめました。
| 施術名 | 費用相場(1部位) | 備考 |
|---|---|---|
| ソケットリフト | 約5万〜10万円 | インプラントと同時に行う場合が多い |
| サイナスリフト | 約15万〜30万円 | 骨造成を伴い、治療期間も長め |
これらの費用はインプラント治療費とは別にかかることが一般的です。たとえば、1本のインプラントに30万円前後かかる場合、サイナスリフトを併用すると合計で45万〜60万円程度になることもあります。
また、使用する骨補填材の種類(自家骨・人工骨・他家骨など)や手術の難易度によって追加料金が発生するケースもあるため、事前のカウンセリングで明確な見積もりを確認することが重要です。
分割払いの可否や医療費控除の対象になるかどうかなど、経済的な負担を軽減する手段についても、合わせて相談しておくと安心です。
「入れ歯がガタついて食事が楽しめない」「歯がほとんど残っておらず、全部入れ歯にするしかないと言われたけど、どうしても踏み切れない…」──そんな不安や迷いを抱えていませんか?
ここでは、名古屋で「オールオン4」に実績のある歯科医院を、年代別の悩みに寄り添って厳選紹介。
40代・50代・60代、それぞれに合った医院選びのヒントが見つかります。
これらの骨造成術は、インプラント治療の可能性を広げる画期的な方法ですが、外科処置を伴うため、利点と注意点の両面を理解しておくことが大切です。
こうしたメリットとデメリットを比較し、患者の骨の状態や希望する治療スケジュールに合わせて術式を選択することが大切です。不安がある場合は、術後のケアやフォロー体制についても医師に確認しておきましょう。
ここでは、実際にサイナスリフトおよびソケットリフトを併用したインプラント治療の症例を紹介します。骨が不足していたケースにおいて、どのように再生が進んだかの一例です。
引用元:https://www.sotoboridorishika.jp/case/サイナスリフト手術を併用したインプラント/
上顎の奥歯にインプラントを希望。CT検査の結果、歯槽骨の高さが不足しており、通常のインプラント埋入は困難と診断されました。サイナスリフトとGBRを併用し、骨補填材と吸収性メンブレンによって骨を誘導。約6ヶ月後には十分な骨量が得られ、審美性・機能性ともに良好な結果が得られています。
| 施術内容 | 上顎奥歯部インプラント サイナスリフト+GBR |
|---|---|
| 治療期間 | 約6ヶ月 |
| 治療費用 | 約80万円 |
| リスク・副作用 | ・インプラント治療は外科処置を伴います。全身疾患のある方は術前にお知らせください。 ・インプラントの耐久性は天然歯同様、口腔衛生状態により変化します。定期的メインテナンスが必要です。 |
| 症例引用元 | クラウン歯科名古屋中村院(愛知県名古屋市中村区本陣通3-48) 05-2482-0011 |
引用元:https://www.kitaosaka-implant.com/article/chiryorei/category/ソケットリフト
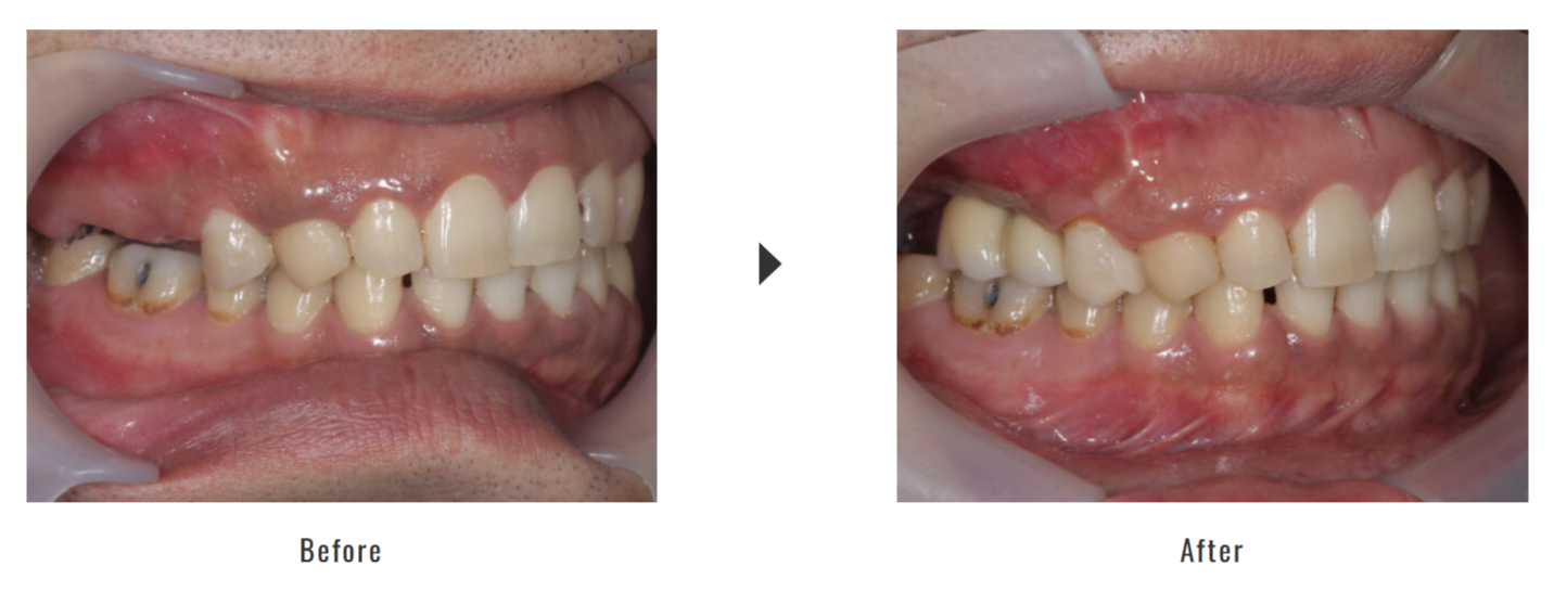
50代男性の症例です。骨の量と幅が不足しており、前歯へのインプラント埋入が困難と判断されました。そこでソケットリフトを併用し、骨を増やしてからインプラントを2本埋入することになりました。
| 施術内容 | 右上前歯部ソケットリフト+インプラント2本+セラミック冠 |
|---|---|
| 治療期間 | 約4〜5ヶ月 |
| 治療費用 |
ソケットリフト:120,000円(税抜) インプラント:500,000円(税抜) チタンアバットメント:80,000円(税抜) セラミック冠:180,000円(税抜) 静脈内鎮静:70,000円(税抜) 合計:950,000円(税抜) ※治療時の価格です。 |
| リスク・副作用 |
・インプラントは自由診療のため、保険治療と比べて費用負担が高くなります。 ・インプラントと骨が結合する期間が必要なため、治療期間が長くなります。 ・手術後に腫れや軽い痛みを伴うことがあります。 |
| 症例引用元 | 大阪インプラント総合クリニック(梅田茶屋町クローバー歯科:大阪府大阪市北区茶屋町15-22 アーバンテラス茶屋町C棟4階ほか) 06-6485-8701 |
上顎の骨が少ないことを理由に、インプラント治療を諦めかけていた方も、骨造成術を併用することで治療の可能性が大きく広がります。以下に該当する方には、サイナスリフトやソケットリフトの適用が検討されることが多くあります。
これらの条件に当てはまる場合、まずは歯科用CTなどの精密検査を受け、現在の骨の状態を正しく把握することが第一歩となります。自己判断でインプラントを断念する前に、専門的な評価とカウンセリングを受けることをおすすめします。
サイナスリフトおよびソケットリフトは、上顎の骨量が不足している方に対して、インプラント治療を実現するための重要な骨造成術です。それぞれの術式は、骨の厚みや手術への耐性、希望する治療スピードなどに応じて選択され、適切に実施されれば高い成功率が期待できます。
たとえ骨が足りないと診断された場合でも、これらの技術を活用することで、「噛む」「話す」「笑う」といった本来の機能や表情を取り戻すことができます。治療にあたっては、十分な診断と信頼できる歯科医師との綿密な相談が欠かせません。
そして、もうひとつ大切なのが「コミュニケーションの自信」です。せっかく口元を整えるなら、話す力も一緒に磨きませんか?会話力を高めるために、英会話スクールを活用するのも良い選択です。噛めること、話せることの両方が、人生の質を大きく高めてくれます。
名古屋にある歯科クリニックの中から、オールオン4の施術をおこなっていることが公式HPに明記されている26院を調査。
歯周病や虫歯などが原因でインプラントを入れている方や入れ歯が合わない方、自覚症状がありながら歯医者に行けず歯がボロボロになってしまった方に向けて、年代ごとにおすすめの歯科クリニックを紹介します。



※症例参照元:吉岡歯科医院公式HP
(https://www.yoshioka-dental.com/cases/kougouhoukai_01/)
(https://www.yoshioka-dental.com/cases/kougouhoukai_02/)